こんにちは。埼玉県川口市、「東川口駅」より徒歩8分にある歯医者「河野歯科クリニック」です。

私たちが日常生活を送るなかで、虫歯は避けられないこともあります。そうした場合に必要になるのが詰め物です。歯の詰め物は、虫歯治療後の穴をふさぎ、見た目や噛む機能を回復させるために重要な役割を果たします。
現在ではさまざまな素材があり、それぞれに特徴が異なります。そのため、それぞれの特徴をよく理解したうえで、自分に合ったものを選ぶことが大切です。
今回は、歯の詰め物の主な種類とそれぞれの特徴について解説します。歯の詰め物の選び方やセラミックを選択するメリット・デメリットについても解説しますので、ぜひ参考にしてください。
歯の詰め物の種類と特徴

歯の詰め物にはいくつかの種類があり、それぞれに異なる特徴があります。素材によって見た目の自然さや耐久性、費用の面などが大きく変わってくるため、自分に合ったものを選ぶことが大切です。ここでは、歯の詰め物の種類とそれぞれの特徴について解説します。
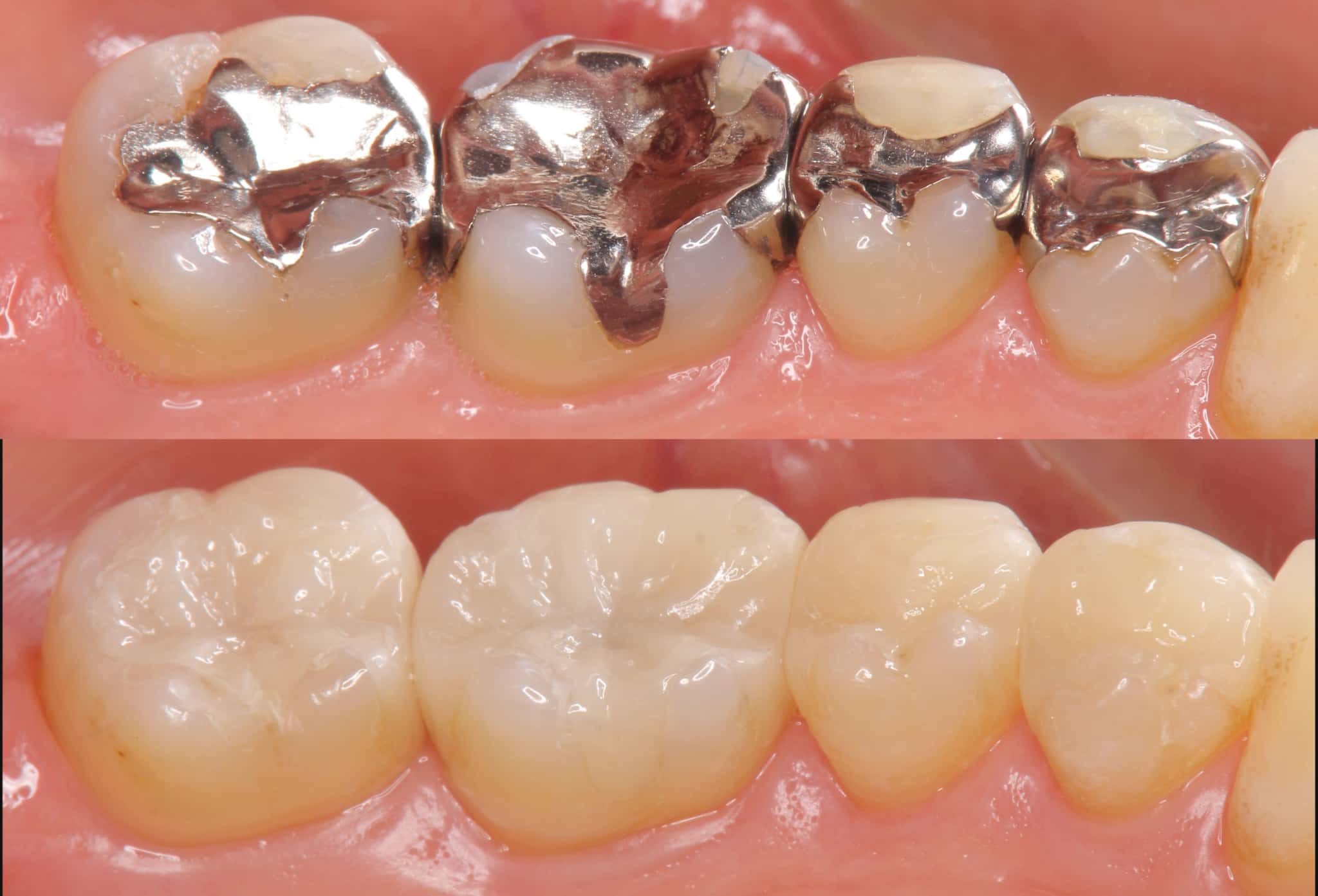
銀歯
銀歯は、保険診療で一般的に使用されている詰め物で、正式には金銀パラジウム合金と呼ばれる金属で作られています。金属のため、強度が高いのが特徴です。また、保険が適用されるため、費用が抑えられるという点もメリットといえます。
一方で、金属色が目立つため審美性に劣ります。また、金属アレルギーを引き起こすリスクがあるため、体質によっては注意が必要です。安価で耐久性を重視する方に向いているかもしれません。
コンポジットレジン
コンポジットレジンは、歯科用の白いプラスチック素材で、見た目が自然に仕上がるのが特徴です。保険適用で費用を抑えられるうえに、治療も短時間で完了します。
ただし、金属やセラミックに比べて耐久性は劣り、時間とともに変色したり、摩耗したりすることがあります。
オールセラミック
オールセラミックは、100%セラミックで作られた素材で、自然な白さと高い透明感が特徴です。金属を一切含まないため、金属アレルギーの心配がなく、歯ぐきとのなじみも良好です。見た目が自然に仕上がることから、多くの方に選ばれています。
一方で、保険適用外であるため治療費は高額になりやすく、素材の性質上、強い衝撃が加わると欠ける可能性がある点には注意が必要です。
ジルコニア
ジルコニアは、非常に硬く、耐久性に優れたセラミック素材です。強い力がかかる奥歯にも対応でき、欠けにくく長期間の使用に向いています。また、金属を使用していないため、金属アレルギーの心配がないのも大きな利点です。
見た目も白く自然ですが、オールセラミックに比べると透明感はやや劣ることがあります。耐久性と安全性を重視したい方に適した素材といえるでしょう。
e-max
e-maxは、ニケイ酸リチウムガラスを主成分とするガラス系のセラミックで、高い審美性と適度な強度を兼ね備えた素材です。滑らかな表面で汚れがつきにくく、変色もしにくいという利点があります。
ただし、強度が高い素材ですが、硬いものを噛むと割れることがあります。見た目の美しさを重視しつつ、自然な仕上がりを求める方に選ばれている素材です。
ハイブリッドセラミック
ハイブリッドセラミックは、セラミックと歯科用のレジンを混ぜた素材で、セラミックの審美性とレジンの柔軟性を併せ持ちます。価格はほかのセラミック素材よりも安価で、手が届きやすいのが特徴です。また、金属を使用しないためアレルギーの心配もありません。
ただし、経年劣化により変色する可能性があり、耐久性も純粋なセラミックよりは劣る傾向があります。
歯の詰め物を選ぶときのポイント

詰め物を選ぶ際には、見た目や費用だけでなく、使用する部位や体質など、さまざまな視点から総合的に判断することが大切です。
費用
歯の詰め物の種類によって治療費は大きく異なります。保険が適用される銀歯やコンポジットレジンは費用を抑えることができます。
一方、セラミック系の詰め物は審美性や耐久性に優れていますが、保険が適用されないため費用が高額になります。予算と希望する仕上がりのバランスを見ながら、自分にとって無理のない選択を心がけることが大切です。
審美性と機能性のバランス
詰め物を選ぶ際には、見た目の美しさと日常生活での使いやすさ、両方を重視することがポイントです。オールセラミックやe-maxは審美性に優れており、自然な見た目を求める方に選ばれていますが、強い力が加わると割れることがあります。
一方で、銀歯は耐久性が高く、長く使えますが、見た目が気になる方には向かないかもしれません。自分のニーズに合ったバランスを見極めることが、満足度の高い治療につながります。
金属アレルギー
金属を使用した詰め物は、体質によっては金属アレルギーを引き起こすことがあります。とくに銀歯に含まれるパラジウムやニッケルなどは、アレルギーの原因になる可能性があります。
そのため、アレルギー体質の方や心配のある方には、オールセラミックやジルコニア、ハイブリッドセラミックなどの金属を含まない素材が推奨されます。詰め物を選ぶ際には、見た目や強度だけでなく、体へのやさしさも考慮することが重要です。
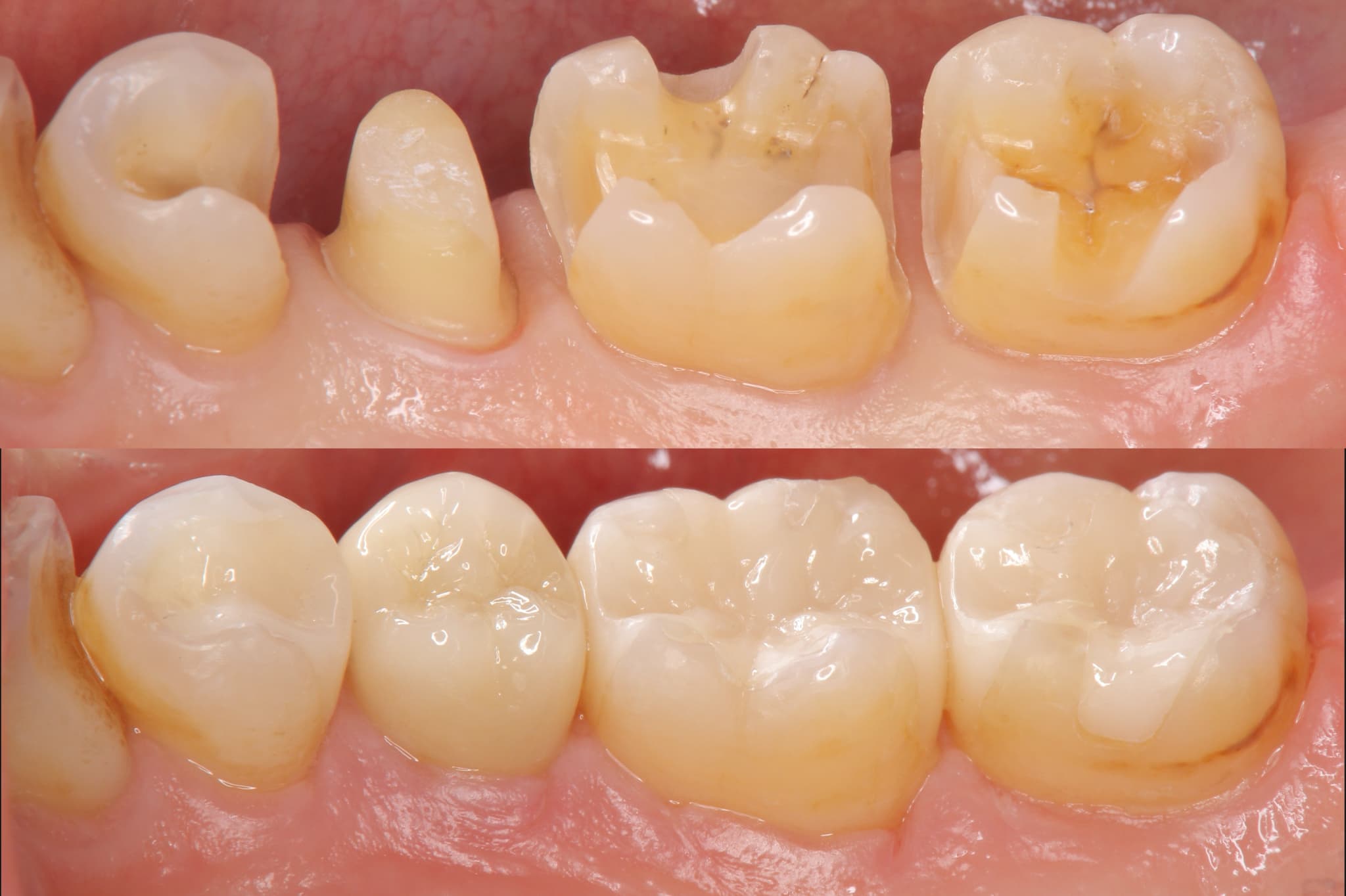
セラミックの詰め物にするメリット

セラミック素材の詰め物には、機能面と審美面の両方で多くのメリットがあります。ここでは代表的な利点について見ていきましょう。
審美性に優れている
セラミックの詰め物は、天然の歯に非常によく似た色合いや透明感を持ち、口を開けたときにもほとんど違和感がありません。特にオールセラミックやe-maxなどは、光の透過性にも優れており、自然な見た目を重視したい方に選ばれています。
銀歯のように金属色が見えることがないため、笑ったときの印象にも大きな差が出ます。
変色しにくい
セラミックは表面が非常に滑らかで、汚れや色素が付きにくいため、長期間使用しても美しい白さを保ちやすいのが特徴です。コーヒーやカレーなどの色の濃い飲食物を口にしても、変色しにくく、見た目の劣化が少ない点がメリットです。
これに対し、コンポジットレジンなどの樹脂素材は吸水性があるため、時間の経過とともに着色しやすく、黄ばみやくすみが目立つようになります。そのため、清潔感のある見た目を長く維持したい方には、セラミック素材の詰め物が向いているかもしれません。
金属アレルギーのリスクがない
銀歯の場合、金属イオンが溶け出すことでアレルギー反応や歯ぐきの黒ずみを引き起こすことがあります。
その点、オールセラミックやジルコニアなどのメタルフリー素材は、アレルギー体質の方でも安心して使用できます。そのため、見た目だけでなく、身体にやさしい素材を選びたい方にはセラミック素材が選ばれているのです。
虫歯が再発しにくい
セラミックの詰め物は、加工精度が高く、天然歯との間にすき間ができにくいため、細菌が入り込むリスクが低くなります。これにより、虫歯の再発(2次カリエス)のリスクを抑えることができ、長期間の健康維持につながります。
また、セラミックの表面は非常に滑らかで、プラークや着色汚れが付きにくいという点も口腔衛生を保つうえで有利です。再治療をできるだけ避けたい方にとって、セラミック素材は安心できる選択肢です。
セラミックの詰め物にするデメリット

多くのメリットがあるセラミックですが、デメリットも存在します。ここでは、セラミックの詰め物を選択するデメリットについて解説します。
費用が高くなりやすい
セラミックの詰め物は、基本的に保険が適用されない自由診療となるため、費用が高くなりがちです。銀歯やコンポジットレジンと比較すると、費用面での負担が増えるため、事前に費用を確認しておくことが大切です。
歯を削ることがある
セラミックの詰め物は、十分な厚みを持たせて強度を確保する必要があるため、健康な歯質をある程度削る必要があります。とくにオールセラミックの場合、強度を保つために削る量がやや多くなる傾向があります。
詰め物の種類によって削る量は異なるため、歯科医師と相談して納得したうえで選択することが大切です。
欠けることがある
セラミックは非常に硬い素材ですが、強い衝撃が加わると割れたり欠けたりすることがあります。とくに歯ぎしりや食いしばりの癖がある方、硬い物を噛む習慣のある方は注意が必要です。万が一、破損した場合には修復が難しく、作り直しが必要になるケースもあるでしょう。
まとめ

歯の詰め物には銀歯やコンポジットレジン、セラミックなどさまざまな種類があり、それぞれに異なる特徴があります。特にセラミックの詰め物は審美性や衛生面で優れていますが、高額な費用がかかる点や破損するリスクがある点には注意が必要です。
大切なのは、自分の口の状態やライフスタイル、希望に合った選択をすることです。歯科医師とよく相談し、ご自身に合った詰め物を選びましょう。
審美歯科での治療を検討されている方は、埼玉県川口市、「東川口駅」より徒歩8分にある歯医者「河野歯科クリニック」にお気軽にご相談ください。
当院は、患者様の求める治療を実現することを第一に考えて診療を行っています。虫歯・歯周病治療だけでなく、予防歯科や審美歯科、矯正治療など、さまざまな治療に力を入れています。
当院のホームページも、ぜひ一度ご覧ください。



